Dental Implants in St Leonards: A Complete Guide to Restoring Your Smile
Missing teeth can affect your confidence, chewing ability, and overall oral health. If you’re in St Leonards, Sydney, and considering dental implants, it’s normal to feel nervous about the procedure. Many patients worry about pain, recovery time, and costs—but understanding the process can make the journey much easier.
At Sydney Smile Care, we make dental implants comfortable, predictable, and long-lasting. With 37 years of experience serving Sydney communities, we guide every patient step-by-step from consultation to the final crown placement.
What to Expect from Dental Implant Treatment
Consultation & Digital Planning
During your first appointment, we take x-rays, digital scans, and full records to plan your implant placement precisely. This ensures optimal function, aesthetics, and long-term success.Surgery & Healing
Implants are placed under local anaesthetic or sedation, depending on your comfort. Some cases require a minor procedure, like a sinus lift, to ensure there’s enough bone for stable implant integration. A healing cap protects the implant while the gum and bone integrate over 3–6 months.Crown Placement
Once fully stable, we take digital impressions and create a custom ceramic crown to match your natural teeth. The result is a seamless, functional, and natural-looking restoration.
Benefits of Dental Implants in St Leonards
Restore full chewing function and bite strength
Protect jawbone and prevent bone loss
Long-lasting solution (10–15 years with proper care)
Look and feel like your natural teeth
Easy to maintain with regular check-ups and daily cleaning
Unlike dentures, implants are anchored directly into your jawbone, providing strength, stability, and natural function. With proper care, implants can last decades and help maintain a healthy, confident smile.
Caring for Your Dental Implants
Clean daily using a Waterpik or water flosser to remove food and bacteria
Visit your dentist regularly for check-ups and crown adjustments if needed
Avoid using implants to bite extremely hard objects (like ice) to preserve longevity
Is a Dental Implant Right for You?
Each patient is unique. Factors such as bone quantity, medical history, existing infections, and age can influence treatment options and timelines. At Sydney Smile Care, we provide transparent advice and personalised treatment plans to ensure you feel confident in your decision.
If your tooth is restorable and has a good prognosis, you may consider instead root canal treatment with crown & bridge instead of extracting and getting a dental implant. See this link to learn more: https://sydneysmilecare.com.au/endodontic-root-canal/
Book Your Consultation Today
If you’re considering dental implants in St Leonards, Sydney, we encourage you to book a consultation at Sydney Smile Care. Our team will answer all your questions and guide you toward the best solution for your smile.
📍 Location: St Leonards, Sydney
📅 Book Now: https://sydneysmilecare.com.au or call us (Button in top right corner)
📲 Message Dr Cosmo Liu: @drcosmoliu
Restore your smile, confidence, and oral health with dental implants you can trust.
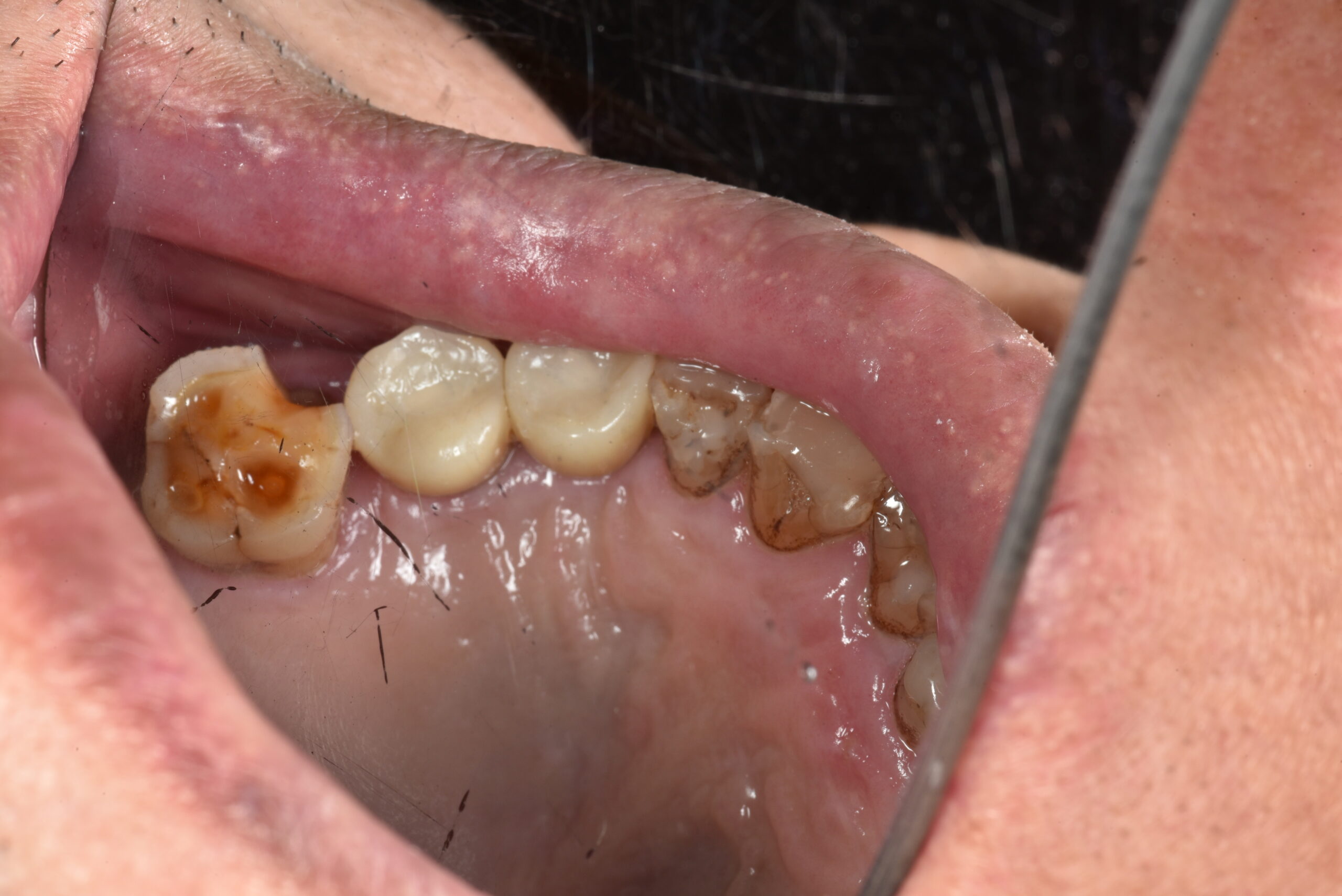
Below is one of Dr Cosmo’s case: where he placed and restored two dental implants to replace to premolars to restore chewing and eating function.










No responses yet