Tooth decay can occur from cracks, deep grooves, pits, or simply not cleaning the surface of the tooth. In dental school, we are taught that just 24 hours from not cleaning our teeth will lead to localised inflammation of the gums from bacteria buildup. That’s why most dentists are extra vigilant in keeping their teeth clean, primarily because we know exactly what can happen to our teeth if we do not brush or floss before bed. That’s also why some patients feel ‘judged’ by their dentists because it could just be that the dentist cannot believe
What Is Tooth Decay?
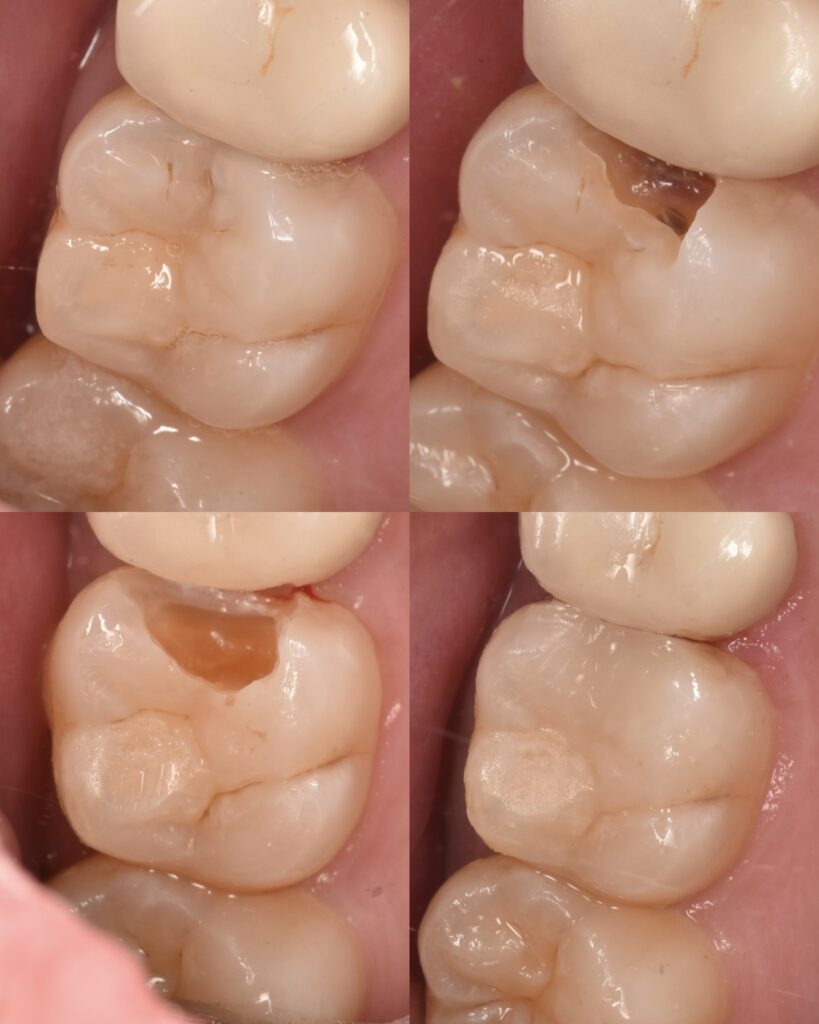
Tooth decay, also known as dental caries or cavities, is the destruction of the tooth’s hard outer layer (enamel) and inner layers due to acids produced by bacteria in the mouth. These acids are a byproduct of bacteria feeding on sugars and starches left on the teeth.
Over time, this acid breaks down the enamel and can reach the deeper layers of the tooth, leading to sensitivity, pain, and potential infection.
What Causes Tooth Decay?
Several factors contribute to the development of tooth decay:
- Poor oral hygiene – Not brushing or flossing regularly allows plaque (a sticky film of bacteria) to build up on teeth.
- Frequent snacking or sipping sugary drinks – Sugar fuels the bacteria that cause decay.
- Lack of fluoride – Fluoride strengthens enamel and helps reverse early decay.
- Dry mouth – Saliva helps wash away food and neutralize acids; a lack of it increases risk.
- Worn dental work – Old fillings and crowns can wear out, allowing bacteria to sneak underneath.
- Diet – Foods high in sugar and refined carbs promote decay more than fruits, veggies, and whole grains.
Signs and Symptoms
Early-stage tooth decay might not cause any noticeable symptoms. As it progresses, you might experience:
- Tooth sensitivity (especially to sweets, heat, or cold)
- Toothache or spontaneous pain
- Visible holes or pits in your teeth
- Staining (white, brown, or black) on tooth surfaces
- Bad breath or a bad taste in your mouth
How Is Tooth Decay Treated?
Treatment depends on how far the decay has progressed:
- Fluoride treatments – In early stages, fluoride can help restore enamel.
- Fillings – For cavities that have formed, dentists remove the decayed portion and fill the space with materials like composite resin or amalgam.
- Crowns – For more extensive decay, a crown may be needed to cover and protect the tooth.
- Root canals – If decay reaches the tooth’s pulp, a root canal removes the infected tissue and seals the tooth.
- Tooth extraction – In severe cases, the tooth may need to be removed.
How to Prevent Tooth Decay
The best approach to dental health is prevention. Here’s how:
- Brush twice a day with fluoride toothpaste. See this post for what dentists recommend and use for their oral hygiene: https://sydneysmilecare.com.au/how-dentists-care-for-their-teeth/
- Floss daily to remove plaque between teeth.
- Limit sugary snacks and drinks, especially between meals.
- Drink plenty of water, especially fluoridated water.
- Visit your dentist regularly for cleanings and checkups.
- Chew sugar-free gum to stimulate saliva production.
- Consider dental sealants – especially for children – to protect chewing surfaces.
Final Thoughts
Tooth decay might be common, but it doesn’t have to be inevitable. With daily care and regular dental visits, you can protect your smile for years to come. And if you do spot any early warning signs, don’t wait — the earlier tooth decay is treated, the better the outcome
.


No responses yet