Quick Decision guide
A toothache can hit at the worst possible time—whether it’s a throbbing pain keeping you up at night or sudden sensitivity to hot and cold. You may have noticed the hole on a back tooth but life got too busy and you never went to the dentist until it started giving you severe pain. Visit https://www.instagram.com/sydneysmilecare/?hl=en for more info or book your appointment!
| Situation | Suggested Action |
|---|---|
| Severe pain, swelling, fever | Call emergency dentist clinic or hospital ER |
| Moderate toothache during business hours | Call your dentist for same-day appointment |
| Tooth knocked out or broken | Seek emergency dental care immediately |
| Facial trauma or spreading infection | Go to hospital emergency department right away |
| Unsure what to do | Call Healthdirect helpline for direction |
Common Causes of Toothache
Tooth pain doesn’t always have one clear cause. Some of the most common culprits include:
Cavities and decay: When enamel breaks down, it exposes the inner tooth and causes pain.
Gum disease: Swollen, bleeding gums can irritate nerves and cause discomfort.
Dental trauma: A cracked, chipped, or knocked-out tooth can lead to immediate pain.
Infections: Abscesses or infections in the tooth or gums can create severe, throbbing pain and swelling.
Quick Relief While You Arrange Care
If the pain is mild or you’re waiting to see a dentist, you can try:
Warm salt water rinse: Helps reduce inflammation and clean the area.
Cold compress: Apply to the cheek for 15–20 minutes to numb the pain.
Pain relief: Over-the-counter painkillers like ibuprofen or acetaminophen can help.
Avoid triggers: Stay away from hot, cold, acidic, or sugary foods until you’re seen.
⚠️ These are temporary measures—dental pain rarely goes away on its own.
Getting Help
1. First port of call – Call Your Dentist!
Many Sydney dentists offer urgent appointments for toothaches. Explain your symptoms clearly—they may be able to fit you in on the same day.
2. Emergency After Hours
If it’s after hours, it’s difficult to get help from the local hospital emergency department. However, they may be your best option if every other clinic is closed. Some clinics may stay open till 7pm. Otherwise, try to contact your personal dentist on their mobile. They may be able to provide some medication to temporarily sustain you to the next day.
Some emergencies include:
Severe tooth pain
Broken or knocked-out teeth
Infections or swelling
Emergency procedures like root canals or extractions
If you have no choice, please go to your local hospital to the emergency department. Some doctors may have some dental training to provide treatment or temporarily relief.
3. Go to Hospital for Serious Cases
If you have facial swelling, fever, trouble swallowing, trouble breathing or spreading infection, head straight to the nearest hospital emergency department. These can be signs of a serious infection that needs immediate medical attention. You can still see your local dentist for emergency treatment, but severe swelling may require surgery to incise and drain the swelling.
4. Call Healthdirect as a last resort
Unsure what to do? Healthdirect Australia offers 24/7 advice at 1800 022 222. They can guide you on whether you need urgent care.
Don’t Delay Treatment
Toothaches aren’t just uncomfortable—they can lead to serious complications if ignored. Acting quickly, even with simple home remedies, can make a big difference.
Sydney residents have access to both regular dental practices and emergency clinics, so help is always within reach. Remember, prompt attention now saves bigger problems later!
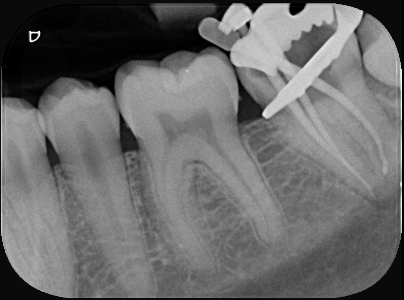
Dr Cosmo explains one patient he had last week where the patient delayed treatment for a hole on a back tooth. The patient was aware of the hole, but due to life’s other commitments, he delayed his visit to the dentist. Here are the photos of his hole – note the mushy appearance of decay which has infected his nerve. It has then spread through the tooth and cause the infection to spread to his lower jaw. This caused a swelling that hurt to touch. In his case, we commenced root canal therapy in an attempt to relieve his pain and keep his tooth. See https://sydneysmilecare.com.au/endodontic-root-canal/ for more information.
Pain was immediately relieved after the anaesthetic wore off and he walked away out of pain.
Of course we want to prevent these kind of pain to you, but it’s important every six months you come for check-up and cleans to ensure we catch any problems early. In the photo below – this is a rubber dam that we use to protect you from our instruments and irrigants. After we have cleaned out the inside of the tooth, we place medication inside to kill off any remaining infection. Sometimes it requires multiple appointments to clean and resolve the infection. We take x-rays of the tooth assess the extent of decay, the complexity of the tooth and the proximity of local structures that may be at risk of treatment.
After we finish his root canal, I’ll show you how to protect your tooth in the next post. I’ll give you a hint: https://sydneysmilecare.com.au/crowns-and-bridges-burwood/


No responses yet